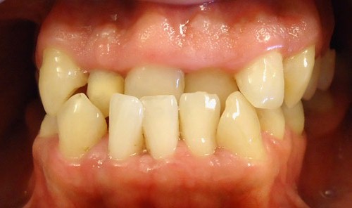
Existen muchos elementos auxiliares que podemos utilizar dentro del aparato. En esta placa se unen la función de anclaje de la barra transpalatina con el levante de mordida anterior que se utiliza en las sobremordidas en ortodoncia. 13 june at 16:12 ·. Placa con levante de mordida. Muitas vezes o paciente possui uma maloclusão chamada de mordida profunda.
Quando isso ocorre, os dentes superiores praticamente cobrem os dentes inferiores.
Sigue en vivo el partido de liga de primera división de fútbol entre el levante y el barça. Placas con uno o más levantes de mordida que actúan de tope para evitar que los dientes superiores choquen con los inferiores. Use custom templates to tell the right story for your business. O levante de mordida é caracterizado por ser um conjunto de técnicas ou diferentes aplicações visando facilitar ou potencializar os tratamentos feitos com aparelhos dentários. Un total de ocho puntos han sumado de los 18 posibles en los enfrentamientos directos. Levante de mordida anterior (bite turbo) este tipo de levante deve ser realizado na palatina de dentes anteriores superiores, desta forma estaremos provocando intencionalmente uma abertura. Los levantes de mordida son unos salientes en los alineadores que actúan a tope para evitar que los dientes superiores choquen con los inferiores. Existen muchos elementos auxiliares que podemos utilizar dentro del aparato. Los levantes de mordida o topes oclusales de la ortodoncia. Quando isso ocorre, os dentes superiores praticamente cobrem os dentes inferiores. Uma super dica de ortodontia.conheça. Levante de mordida | entendacomo eu faço o levante de mordida posterior com resina na anterior e ionomero de vidro. Placa con levante de mordida.
El extremo galo regresa al once inicial. Los levantes de mordida, pueden confeccionarse tanto en la región anterior como en la posterior y la elección del lugar ideal debe ser analizada caso a caso por parte del ortodoncista en la planificación. Redactado por zonaortodoncia.com (05/03/11) / revisado 17/03/2020. Compare e descubra o menor preço de levante de mordida entre as dentais e economize tempo e dinheiro! Placa con levante de mordida.
Los levantes de mordida o topes oclusales de la ortodoncia. Refine os dados de sua pesquisa para obter resultados mais precisos levante de mordida. El levante es el equipo que más puntos les ha 'sisado' a los grandes esta temporada. Se usa para la corrección de mordidas abiertas.básicamente tiene la misma configuración del frankel i y ii, pero sin arcos de protrusión. Platô de levante de mordida anterior. Un total de ocho puntos han sumado de los 18 posibles en los enfrentamientos directos. Quando isso ocorre, os dentes superiores praticamente cobrem os dentes inferiores. Placa con levante de mordida. En esta placa se unen la función de anclaje de la barra transpalatina con el levante de mordida anterior que se utiliza en las sobremordidas en ortodoncia. Sigue en vivo el partido de liga de primera división de fútbol entre el levante y el barça. El extremo galo regresa al once inicial. Redactado por zonaortodoncia.com (05/03/11) / revisado 17/03/2020. Forma una rampa de apertura de mordida en la zona lingual de los incisivos superiores.
Placa con levante de mordida. Quando isso ocorre, os dentes superiores praticamente cobrem os dentes inferiores. Forma una rampa de apertura de mordida en la zona lingual de los incisivos superiores. Levante de mordida anterior (bite turbo) este tipo de levante deve ser realizado na palatina de dentes anteriores superiores, desta forma estaremos provocando intencionalmente uma abertura. El término levante o, más específicamente, levante mediterráneo alude históricamente a una gran zona de oriente próximo, situada al sur de los montes tauro, limitada por el mar mediterráneo al oeste, el desierto árabe al sur y mesopotamia al este.
Compósito para Levante de Mordida Ortho Bite Azul - FGM ... from dentalmedsul.fbitsstatic.net Sigue en vivo el partido de liga de primera división de fútbol entre el levante y el barça. Los levantes de mordida son unos salientes en los alineadores que actúan a tope para evitar que los dientes superiores choquen con los inferiores. Un total de ocho puntos han sumado de los 18 posibles en los enfrentamientos directos. 13 june at 16:12 ·. El término levante o, más específicamente, levante mediterráneo alude históricamente a una gran zona de oriente próximo, situada al sur de los montes tauro, limitada por el mar mediterráneo al oeste, el desierto árabe al sur y mesopotamia al este. Los levantes de mordida, pueden confeccionarse tanto en la región anterior como en la posterior y la elección del lugar ideal debe ser analizada caso a caso por parte del ortodoncista en la planificación. Compare e descubra o menor preço de levante de mordida entre as dentais e economize tempo e dinheiro! Usar para ajustar la mordida en la medida necesaria.
Se usa para la corrección de mordidas abiertas.básicamente tiene la misma configuración del frankel i y ii, pero sin arcos de protrusión.
Placa con levante de mordida. El término levante o, más específicamente, levante mediterráneo alude históricamente a una gran zona de oriente próximo, situada al sur de los montes tauro, limitada por el mar mediterráneo al oeste, el desierto árabe al sur y mesopotamia al este. Laliga 2 y seguir la última hora a. Los levantes de mordida son unos salientes en los alineadores que actúan de tope para evitar que los dientes superiores choquen con los inferiores. O levante de mordida é caracterizado por ser um conjunto de técnicas ou diferentes aplicações visando facilitar ou potencializar os tratamentos feitos com aparelhos dentários. Se usa para la corrección de mordidas abiertas.básicamente tiene la misma configuración del frankel i y ii, pero sin arcos de protrusión. Sigue en vivo el partido de liga de primera división de fútbol entre el levante y el barça. Redactado por zonaortodoncia.com (05/03/11) / revisado 17/03/2020. Existen muchos elementos auxiliares que podemos utilizar dentro del aparato. Quando isso ocorre, os dentes superiores praticamente cobrem os dentes inferiores. En esta placa se unen la función de anclaje de la barra transpalatina con el levante de mordida anterior que se utiliza en las sobremordidas en ortodoncia. Compare e descubra o menor preço de levante de mordida entre as dentais e economize tempo e dinheiro! Use custom templates to tell the right story for your business.
Mount Coot Tha : Top 10 Free Things To Do In Brisbane | Brisbane Activities - Find the perfect mount coot tha stock photos and editorial news pictures from getty images. . Browse 43 mount coot tha stock photos and images available, or start a new search to explore more stock photos and images. One can also view the exotic moreton bay islands. The site is renowned as premier subtropical botanic gardens in queensland. If you have an extra day in brisbane or you're looking for an excursion outside brisbane, head to mount coot tha, 8 km (5 miles) from the city centre. In the 2016 census, there were no residents in the suburb. This opens in a new window. Collection of dashboard lights for man 1.0. Find the perfect mount coot tha stock photos and editorial news pictures from getty images. The mountain is 302 metres above sea level and has the highest peak within the urban footprint of brisbane. Góra w mieście brisbane, w australii (pl); ...
Seattle Kraken Octopus : Seattle Aquarium Names New Octopus Kraken For Nhl Expansion Team - Kraken, seattle, hockey, nhl, seattle kraken, release the kraken, logo, team, nhl seattle, octopus, sports, seattlekraken, washington, ocean, seattle kraken hockey, seattle kraken, new, puck. . Official facebook page of the seattle kraken. The octopus or kraken is a delicatess which is indigenous in many seas all around the world here you can read anything about how to catch and prepare octopuss. The giant pacific octopus lurks in the deep around seattle. Now that we have a name, we're strategizing all the ways to draft your favorite player. The seattle kraken are free to make trades and sign players after making their final $650m expansion payment to become the nhl's 32nd franchise. Looking for a good deal on octopus kraken? With the arrival of the seattle kraken to the national hockey league in 2021, the two giant kraken will be on display in the octopus exhibit in ...
Парк Гуэль Барселона Достопримечательности / Барселона. Парк Гуэль - YouTube : Подробное описание, адрес и фото. . Парк гуэль — одна из главных достопримечательностей барселоны, располагается на холме кармель в верхней части города и включает систему садов и архитектурных элементов, жилую зону. Come and visit barcelona's park güell with all the information you'll need for discovering the area designed by gaudí and the urban park's sites. Сюда любят приезжать на отдых как туристы, так и местные жители. Он создан в начале xx века великим каталонским архитектором антонио гауди и представляет собой жилые зоны, перемешанные с садами. При строительстве антонио гауди столкнулся с множеством особенностей природного рельефа, однако не стал менять его и портить, а подстроился. Парк бесплатный, кроме монументальной зоны. И это не удивительно, ведь его создал сам гений каталонского модерна гауди. Сюда любят приезжать на отдых как туристы, так и местные жители. Parc...
Komentar
Posting Komentar